Anatomic reconstruction is desirable.
Bone plates may be placed on the lateral or medial surface of the femur. The normal curve of the distal femur makes it difficult to achieve optimal screw purchase with standard straight plates. Contouring these plates is challenging.

This procedure is performed with the patient placed in either of the two positions:
One of the following approaches is utilized:
The fracture is reduced with pointed reduction forceps. Anatomic reduction is desired in all cases.

Preliminary stabilization can be achieved with reduction forceps or K-wires.
The K wires can be left in place for additional stabilization with the bone plate.

Numerous plate types can be used. Specially designed plates for the distal femur are available.
Ideally the plate should be long enough to place at least three screws on either side of the fracture plane. In this location, the use of only two screws in the distal fragment is acceptable.

The plate is contoured to the lateral aspect of the distal femur. The plate position and contouring to the bone is checked thoroughly and adjusted, if required.
Note: Care should be taken to avoid placement of the plate high on the lateral trochlear ridge, where it can impinge on patellar tracking and result in pain and discomfort.
A detailed description of "Plate preparation" can be found here.

Screws are placed in a near-near far-far pattern. The remaining screw holes are filled. If a screw holes lays over the fracture plane it should be left open.
Note: Care should be taken to avoid penetrating the articular surface with the screws. Where possible at least one screw should traverse both condyles.

If a locking plate is used, only 2-3 locking bicortical screws are needed per main fragment. One advantage of using a locking plate is that precise contouring is not necessary. Great care must be taken when contouring the distal part of the locking plate to avoid directing screws into the joint.
Note: If a combination of cortex and locking screws is used, the plate must be anatomically contoured at the sites of non-locking screw insertion. The non-locking screws must be inserted and tightened before any locking screws are placed.

Postoperative radiographs should be taken to assess the repair and ensure that no implants were placed into the joint space.

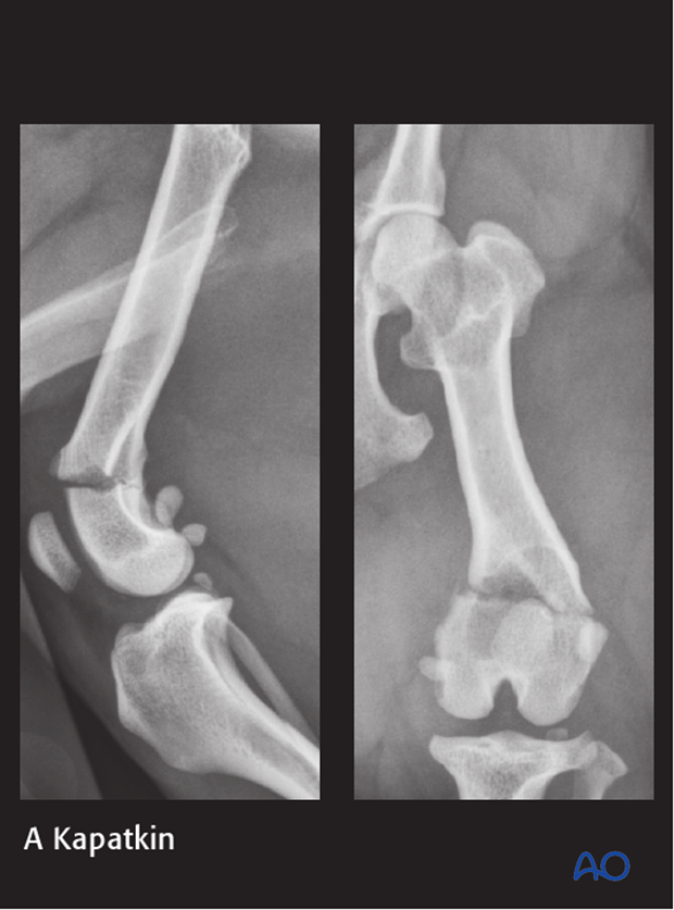
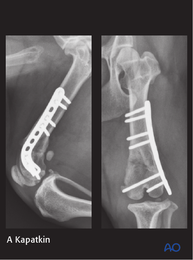
2-year-old small mixed breed dog presented from a shelter after being hit by a car, with a left grade 1 open 33-A1 fracture, comminuted acetabular fracture, and sacroiliac luxation.

The fracture was repaired using a reconstruction plate and a K-wire. Note the transcondylar distal screw placement.
A femoral head and neck excision was also performed.

The patient reportedly recovered well on telephone follow up but never returned for radiographs.
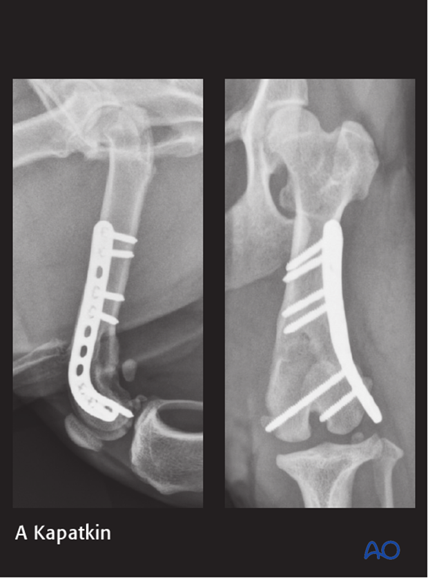
10-year-old MC Jack Russell Terrier of 6 kg.
Stepped on by owner 1 week before presentation.

The fracture was repaired using a 2.0 mm distal femoral plate in bridging fashion.

7-week postoperative radiographs.

The patient reported fully healed at the 12-week postoperative radiographic control.

Activity restriction and controlled walking is indicated until evidence of bone healing is detected by radiographic examinations.

The aim is to reduce the edema, inflammation and pain using anti-inflammatory and analgesic medications.
Passive range of motion of the hip and stifle joint can be initiated to promote mobility and joint health.

The aim is to resolve the hematoma, edema and control pain, and prevent muscle contracture.
Anti-inflammatory and analgesic medications are still needed. Rehabilitation and integrative medical therapies can be used.
Special attention should be given to patients less than 1 year of age with a femoral fracture, as they are at risk for developing quadriceps contracture. Early controlled activity and passive range of motion is strongly recommended to help prevent this complication.
If the patient is not starting to use the limb within few days after surgery, a careful evaluation is recommended.

Rehabilitation therapy is continued.
10-14 days after surgery the sutures are removed.
Radiographic assessment is performed every 4-8 weeks until bone healing is confirmed.

Implants may be removed if there is irritation or infection present, however if they are not causing problems for the patient, there is no need for implant removal.