Physeal fractures are very common in the distal femur, and they account for the majority of fractures seen in this region.
When identified, surgical repair should be performed as soon as possible, as fracture healing occurs quickly, and even in the early stages of healing, this can make reduction of the fracture more challenging and anatomic reduction more difficult.
The small bone stock available for fixation in the distal fragment, soft immature bone, and the need for anatomic reduction, make treatment of these types of fractures challenging.
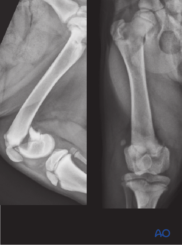
Radiographs show a Salter-Harris 2 fracture of the distal femoral physis in a three-month-old female golden retriever.

The most common physeal fracture configurations in the distal femur are classified as Salter-Harris type I and II fractures, which correlate most closely with 33-A1 and A2 fractures regarding their treatment.

The physis on the distal femur is ’W’ shaped in both the craniocaudal and mediolateral plane, for both the cat and the dog. When reduced, the fracture has inherent stability.
Additional fixation is usually added to provide increased stability of the construct.

Implants which span and rigidly fix the physis (i.e. bone plates, external skeletal fixation) will stop any potential growth at that site and should be avoided.
Smooth pins can allow continued growth as the proliferating physeal cartilage may slide along the pins.
Key point: Implants should be placed so that they do not interfere with joint function.

Follow-up is essential in patients with physeal fractures, as potential complications are best treated early during healing.
Typically, animals should be evaluated every 2 weeks after surgery. Fracture healing generally occurs rapidly (i.e. 3-4 weeks).
As the distal femoral physis accounts for 65-75% of the longitudinal growth of the femur in the dog, premature closure of the physis and secondary shortening of the bone is common. However, in most cases, it does not cause a clinically significant problem.