The canine and feline femur differ in both size and shape of the femoral condyle and the diaphysis, and this can influence surgical techniques between the species.

The distal femur in the dog has a greater degree of caudal angulation in comparison to the cat, especially in chondrodystrophic breeds.
This difference can make correct plate bending more challenging in the dog. Bone plates that allow in-plane bending, such as the reconstruction plate, may be easier to use. Alternatively, specialized bone plates are available that accommodate the caudal curve of the distal femur.

The diaphysis of the canine femur (left) typically has a cranial bowing to it, whereas the feline femur (right) is typically very straight.

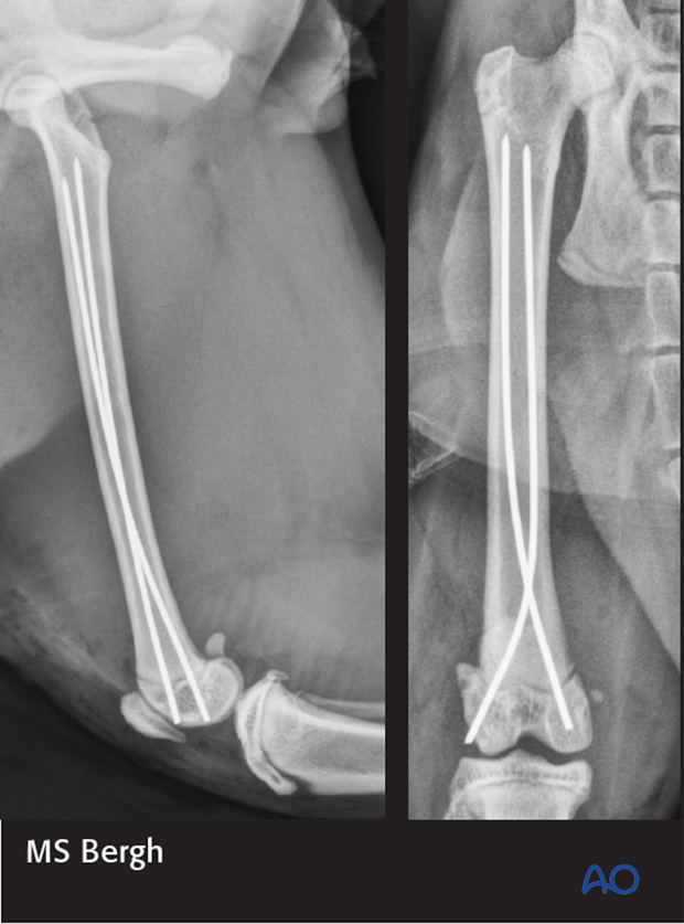
The straightness of the feline femur makes it more amenable to modified Rush/dynamic intramedullary pinning technique of distal femoral fractures.
Radiographs show the modified Rush pinning/dynamic cross pinning technique in a cat with a Salter Harris 1 fracture of the distal femoral epiphysis.
