Type B1 fractures are sagittal fractures of the lateral condyle.

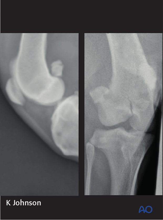
Shown are mediolateral and a slightly oblique craniocaudal radiograph highlighting a 33-B1 fracture of the distal femur.

33-B fractures are articular fractures of one of the femoral condyles that occur secondary to compressive and torsional forces on the distal femur. One or more of the cruciate or collateral ligaments may be attached to the fracture fragment. These fractures may or may not be displaced. Fixation should be performed as soon as possible to avoid abrasion damage of the articular surface, ligaments, and menisci.
Type 33-B fractures are uncommon and can occur in immature or adult animals. These account for approximately 10% of distal femoral fractures.
33-B fractures occur secondary to trauma. Depending on patient age and location, the fractures may involve the growth plates or not.
Clinical signs observed in 33-B fractures are:
Good quality mediolateral and craniocaudal radiographs are essential for fracture evaluation. If there is minimal displacement of the fragments, diagnosis may be difficult. Oblique projections and mediolateral stressed views of the distal femur might be helpful.
If more information is needed, computed tomography should be considered.