The cross pin technique may be considered if the fracture configuration allows for inherent stability when reduced. In these cases, the addition of crossed pins provides ancillary stabilization to allow healing with early range of motion of the joint. For maximal stability the pins must cross proximal to the fracture.
If the wedge fragment is fully detached, fixation of the metaphyseal fragment with a screw in lag fashion is needed before cross pinning. For additional details, refer to the dedicated section of the AO Surgery Reference: "Cross pinning and lag screw".

This procedure is performed with the patient placed in either of the two positions:
One of the following approaches is utilized:
With the patient under general anesthesia, the stifle joint is flexed, and the tarsus is extended, to reduce tension on the gastrocnemius mechanism. With the femur stabilized, the tibia is pulled cranially, which is used to push the distal fragment into reduction. The stifle is then extended to lock the fragments into position.

Reduction may be difficult if the fracture is more than 48 h old, due to the contraction of the muscles and peri-articular fibrosis.
Note: Bone in juvenile patients is very soft. Care must be taken not to damage it during reduction.
Pearl: Achieving partial reduction of the fracture and gently extending the stifle joint, may aid reduction.

Alternatively, the fracture may be reduced with pointed reduction forceps on each fragment. Anatomic reduction is desired in all cases. Under-reduction of the fracture should be avoided as it is less stable, and the cranial aspect of the metaphysis would interfere with the gliding of the patella in the trochlear groove.
Note: Bone in juvenile patients is very soft. The use of reduction forceps must be done with great care to avoid fracturing the femoral condyles.

Two Steinmann pins or K-wires (depending on the size of the patient) are driven obliquely across the fracture plane to cross each other proximal to the fracture.
Insertion starts at the proximal aspect of the origin of the long digital extensor tendon, in the extensor fossa of the lateral condyle.
Tip: Slight over reduction of the fracture prior to pin insertion helps ensure anatomic reduction when pins are seated. Otherwise, as the pins are inserted, the distal fragment moves caudal and can be under reduced.

The second pin is inserted at a similar level on the medial femoral condyle.
Tip: Alternately advancing each pin into the metaphysis can aid in maintaining fracture reduction.

Both pins should be 40-45 degrees to the long axis of the femur.
Pins should be advanced until they penetrate the cortex proximally.
Note: Care should be taken not to penetrate the articular surface.

Alternatively, the pins may be inserted using a modified Rush/dynamic cross pinning technique. In this case, the pin insertion sites are the same, except each pin is angled 20-30 degrees to the long axis of the femur. A slightly smaller diameter pin is used to achieve success with this technique.
With the modified Rush/Dynamic cross pinning technique, the pins do not penetrate the cortex of the femoral diaphysis but create friction by bending and creating a “spring like” action against the endosteum.
Due to the anatomical differences between the canine and feline femur, this technique is easier to perform in the cat, as there is less caudal curvature in the distal femur.

As the pins are advanced they bounce off the endosteal cortex and slide up the medullary canal. Advancement of the pins stop when they reach the proximal metaphysis.
Pearl: The depth of penetration of the pin is measured using a pin of same size as a reference, by holding it outside the bone.
Tip: Alternately advancing each pin into the metaphysis can aid in maintaining fracture reduction and should be used.

The pins can be cut flat with the bone surface, countersunk with a pin punch, or bent over and then cut short.
Note: Care should be taken if the bone is very soft, as bending the pin may cause damage to the bone.

Postoperative radiographs should be taken to assess the repair.

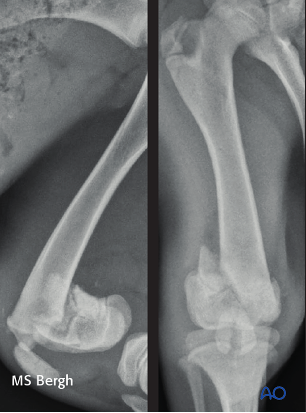
5.5-month-old mixed breed dog presented for right pelvic limb lameness after being hit by a car, with a 33-A2 fracture and a sagittal fracture of the patella.

The fracture was repaired using cross pins. Note the pins cross proximal to the fracture plane. Intraoperatively the articular cartilage of the patella was intact, and the patellar fracture was managed conservatively.
The patient was reported healed uneventfully.

Activity restriction and controlled walking is indicated until evidence of bone healing is detected by radiographic examinations.

The aim is to reduce the edema, inflammation and pain using anti-inflammatory and analgesic medications.
Passive range of motion of the hip and stifle joint can be initiated to promote mobility and joint health.

The aim is to resolve the hematoma, edema and control pain, and prevent muscle contracture.
Anti-inflammatory and analgesic medications are still needed. Rehabilitation and integrative medical therapies can be used.
Special attention should be given to patients less than 1 year of age with a femoral fracture, as they are at risk for developing quadriceps contracture. Early controlled activity and passive range of motion is strongly recommended to help prevent this complication.
If the patient is not starting to use the limb within few days after surgery, a careful evaluation is recommended.

Rehabilitation therapy is continued.
10-14 days after surgery the sutures are removed.
Radiographic assessment is performed every 4-8 weeks until bone healing is confirmed.

Implants may be removed if there is irritation or infection present, however if they are not causing problems for the patient, there is no need for implant removal.