Fluoroscopic visualization of anatomical fracture reduction and correct implant placement for the proximal tibia can be significantly facilitated using the following views:
Standard views:
The following represents ideal imaging with the patient placed in the supine position. The relation between the proximal tibia and the beam remains the same for patients in all other positions.
The orientation of the C-arm has to be adjusted accordingly.
List of anatomical areas with intraoperative imaging pages

To obtain the optimal AP view of the proximal tibia:
AP images obtained with the knee in 30° flexion will not be very different from those recorded with the leg in full extension.
With the knee in 90° flexion, an AP view cannot be obtained.

The optimal AP view of the proximal tibia is obtained when:

The following lines and landmarks can be observed in the AP view of the proximal tibia:

This view is particularly useful to identify:
The correct angle between the joint line and the tibial axis (85-90°)
Images of the contralateral side may be beneficial as a reference.
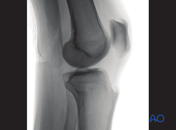
To obtain the optimal lateral view of the distal femur:

The optimal lateral view to the proximal tibia is obtained when:

The following lines and landmarks are seen in the lateral view of the proximal tibia:

The lateral view of the proximal tibia is particularly useful to identify:
To obtain the optimal view, start from the optimal AP view and tilt the C-arm caudally until the AP view of the true tibial joint line is obtained (ca 10°).

The optimal view of the true tibial joint line is achieved when:

The following lines and landmarks can be seen:

This view is particularly useful to identify:
The correct angle between the tibial joint line and the tibial axis (85-90°).
To obtain the optimal view for evaluating the lateral tibial plateau, start from the perfect lateral view and abduct the leg approximately 10-20°.

The optimal lateral view to assess the lateral tibial plateau is obtained when:

The following lines and landmarks can be observed:

This view is particularly useful to identify:
To obtain the optimal view for evaluating the medial tibial plateau, start from the perfect lateral view and adduct the leg approximately 10-20°.

The optimal lateral view to assess the medial tibial plateau is obtained when:

The following lines and landmarks can be observed:

This view is particularly useful to identify: