In its various forms, the dynamic external fixation is readily available, can be easily applied, and allows for early mobilization of the joint in cases of unreconstructible articular fractures.
It may also be added temporarily for protect internally fixed articular fractures during the healing process.
Additionally, periarticular dynamic fixation can be used to reduce compressive load to the articular surface through arthrodiastasis (ligamentotaxis).
The advantage of this device is the early controlled mobilization by the patient to regain function of the finger.
In this procedure, the application of the Suzuki type fixator frame is shown.
Place the patient supine with the arm on a radiolucent hand table.
The application of a dynamic external fixator requires an image intensifier.
The procedure is recommended to be performed with the patient awake with local anesthesia (WALANT) to check the active motion.

Compression fractures are not reducible by ligamentotaxis, as the centrally impacted fragments are devoid of soft-tissue attachments.
Direct reduction is thus necessary.
The key to fixing compression fractures is restoring the joint surface to as close to normal as possible (anatomically) and supporting the reduction with bone graft if needed.

Use a K-wire, a dental pick, or a small curette to push the depressed fragments towards the head of the proximal phalanx, which should be used as a template to restore congruity of the articular surface of the middle phalanx to reduce the risk of later degenerative joint disease.
If a cartilage step-off remains, degenerative joint disease is likely to follow.

Optionally, for reduction, a K-wire may be inserted through the shaft and the medullary canal up to the subchondral region.

Optionally, to maintain joint surface congruity, insert K-wires preferably from dorsal to palmar to stabilize the reduction of the articular fragments. These can be left until fracture consolidation.
Insert the first K-wire (1.2 mm) in the center of rotation of the proximal phalangeal condylar block under image intensification.
Insert the second K-wire distal to the fracture up to the condyles of the middle phalanx parallel to the first K-wire.
Bend both K-wires in a U-shape.
Leave at least 0.5 cm between the first bend and the skin.
Create hooks, open proximally, on each end of the second K-wire close to the skin insertion.
Create hooks, open distally, on each end of the first K-wire so that they will be at least 2.5 cm distal to the second K-wire hooks.
This will then allow for distraction with dental rubber bands.
Optionally, to control dorsal dislocation forces on the PIP joint, a third K-wire (1.0 mm) may be inserted in the middle phalanx to act as a fulcrum.
Insert it just distal to the fracture zone parallel to the other K-wires and palmar to the legs of the first K-wire.
Bend the ends around the legs of the first K-wire.
Check the construct and joint movement with an image intensifier.
The awake patient should move the PIP joint through a range of motion.
The aftercare can be divided into four phases of healing:
Full details on each phase can be found here.
The patient should be instructed to begin active motion (flexion and extension) immediately after surgery to prevent joint stiffness.
Functional exercises of the unaffected joints should be started immediately to keep them mobile.

To prevent postoperative complications, pin-insertion technique is more important than any pin-care protocol:
Various aftercare protocols to prevent pin-track infection have been established by experts worldwide. Therefore, no standard protocol for pin-site care can be stated here. Nevertheless, the following points are recommended:
The patient or the carer should learn and apply the cleaning routine.
In case of pin loosening or pin-track infection, the following steps need to be taken:
Before changing to a definitive internal fixation an infected pin track needs to heal. Otherwise, infection will result.
The external fixator may be removed with local anesthesia after 6 weeks. Check with x-rays for fracture consolidation and congruency.
In the middle phalanx, the fracture line can be visible in the x-ray for up to 6 months. Clinical evaluation (level of pain) is the most important indicator of fracture healing and consolidation.
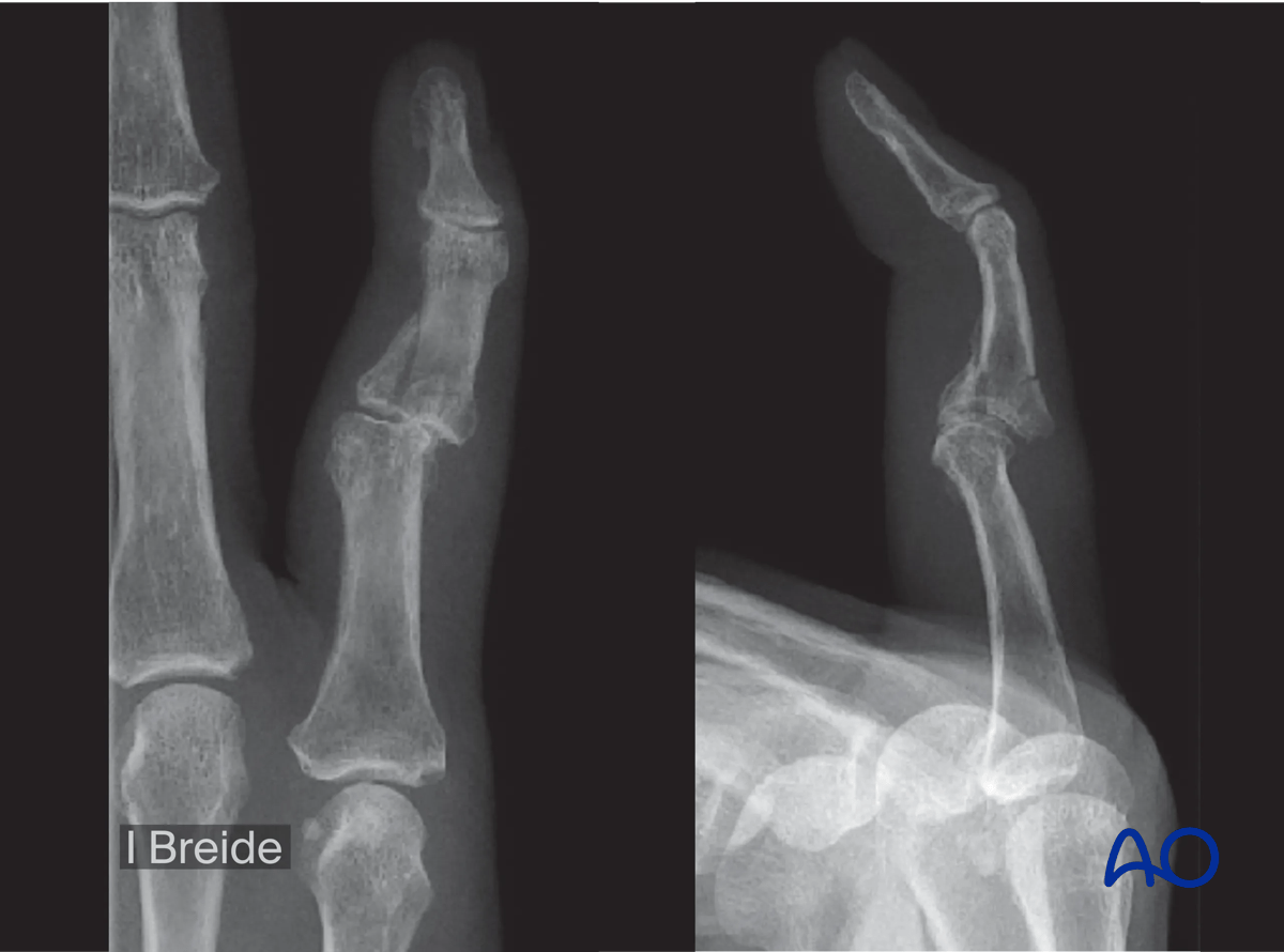
AP and lateral x-ray of a pilon fracture of the 5th middle phalangeal base.
Stabilization with a parabolic (Fibonacci type) dynamic external fixator
Clinical assessment with active motion of the PIP joint by the awake patient